Pewarnaan Endospora dengan Metode Moeller Termodifikasi
Endospora adalah struktur internal yang dihasilkan oleh beberapa jenis bakteri sebagai mekanisme bertahan hidup dalam kondisi yang tidak menguntungkan. Endospora ini tahan terhadap panas, radiasi, dan bahan kimia, dan mampu bertahan hidup dalam keadaan tidak aktif selama periode waktu yang lama, kemudian “bangkit” kembali menjadi bakteri aktif ketika kondisi menjadi menguntungkan (Nicholson, et al. 2000).
Table Of Content
Untuk dapat mengevaluasi dan mengidentifikasi adanya endospora, metode pewarnaan seperti metode Moeller termodifikasi digunakan.
Langkah-Langkah Pewarnaan Endospora dengan Metode Moeller Termodifikasi

- Penyiapan Spesimen: Letakkan sample bakteri pada gelas objek, tetesi sedikit larutan garam fisiologis steril, dan panaskan dengan api bunsen untuk memfiksasi bakteri pada gelas objek.
- Pengecatan dengan Pewarna Primer (Carbol Fuchsin): Tetesi dengan pewarna primer sambil dipanasi secara hati-hati. Biarkan dingin dan meresap selama 15-20 menit.
- Pembilasan dan Dekolorisasi (Alkohol Asetat 3%): Bilas gelas objek dengan air mengalir dan tetesi alkohol asetat 3% untuk dekolorisasi.
- Pengecatan dengan Pewarna Sekunder (Metylen Blue): Tetesi pewarna metylen biru dan biarkan meresap selama satu menit. Bilas sisa pewarna dengan air mengalir.
- Pengamatan Hasil: Amati slide di bawah mikroskop pembesaran 100 – 1000 kali.
Hasil dan Interpretasi
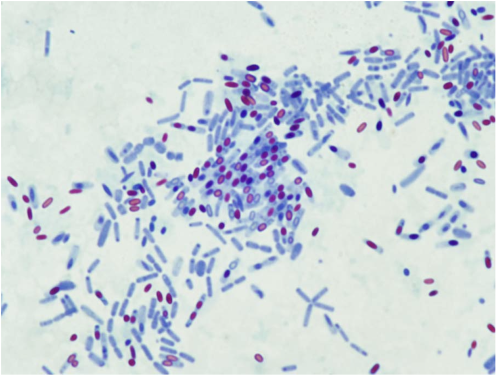
Pada pewarnaan endospora dengan metode Moeller Termodifikasi, endospora akan tampak merah, sedangkan bagian lain sel bakteri tampak biru. Lokasi dan bentuk endospora di dalam sel dapat membantu mengindikasikan spesies bakteri (Madigan et al., 2012).

Dasar Metodologi
Metode ini didasarkan pada fakta bahwa endospora memiliki lapisan luar yang kuat dan tahan terhadap proses dekolorisasi dengan alkohol asetat. Dengan menggunakan pewarna primer yang dapat menembus lapisan ini, dan kemudian dekolorisasi yang menghilangkan pewarna dari bagian sel bakteri lainnya, endospora tetap berwarna oleh pewarna primer. Pewarna sekunder kemudian digunakan untuk mewarnai bagian lain dari sel bakteri (Madigan et al., 2012).
Sumber
- Nicholson, W. L., Munakata, N., Horneck, G., Melosh, H. J., & Setlow, P. (2000). Resistance of Bacillus endospores to extreme terrestrial and extraterrestrial environments. Microbiology and Molecular Biology Reviews, 64(3), 548-572.
- Madigan, M. T., Martinko, J. M., Stahl, D. A., & Clark, D. P. (2012). Brock biology of microorganisms (13th ed.). San Francisco: Benjamin Cummings.